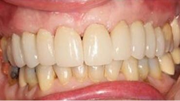
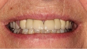
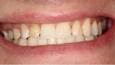
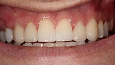
Dental Smile Gallery – Annapolis, MD
Before and After Success Stories
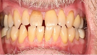
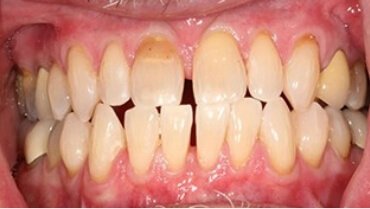
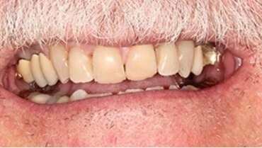
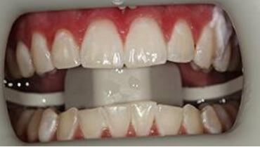
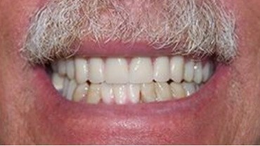
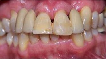
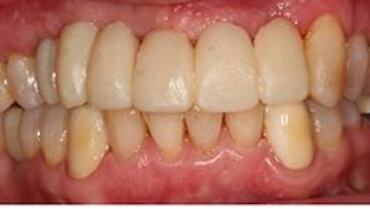
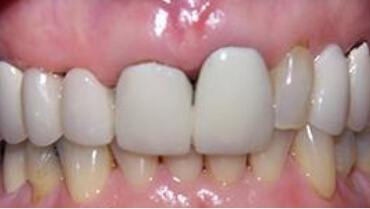
If you want to see what kind of results you can expect when entrusting your smile to our trusted team of experts, take a look at the smile gallery below. Here, you’ll find patients who have undergone true transformations when it comes to teeth whitening, dental implants, porcelain crowns, veneers, cosmetic bonding, and more!
























Request an Appointment